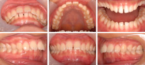
【BEFORE】初めてのご来院時

20代の女性です。前歯の見た目が気になるいうことで治療を開始しました。
【AFTER】2年2ヶ月

コメント
歯を抜かずに並べる隙間がありませんでしたので、上下左右1本ずつ抜いて治療しました。
治療後は、歯をみせて笑うことに抵抗がなくなったとのことでした。
| 年齢層 | 20代 |
|---|---|
| 性別 | 女性 |
| 主訴 | 【主訴】前歯の見た目 【診断・症状】 上下顎叢生 |
| 治療費用 | 85万円程度 |
| 治療期間 | 2年2ヶ月 |
| 抜歯 | 有 |
| 矯正の装置 | ワイヤー装置 |
| 副作用、リスク | 歯肉退縮,歯根吸収,疼痛,咬合の違和感,装置の違和感,虫歯,歯肉炎 |
