【BEFORE】初めてのご来院時

30代の女性です。前歯がすきっ歯であるということで治療を開始しました。
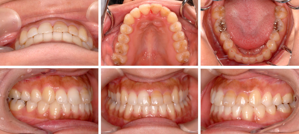
【AFTER】1年10ヶ月後

コメント
上下顎骨の不調和が大きく、矯正のみでの改善はおすすめできませんでした。
下顎骨手術(口腔外科にて入院)を併用しての治療となりました。
治療後はきれいな咬合となり、あともどりもない状態です。下顎の見た目 も改善され喜ばれています。
| 年齢層 | 20代 |
|---|---|
| 性別 | 女性 |
| 主訴 | 【主訴】顎が前にでている 【診断・症状】 骨格性下顎前突 |
| 治療費用 | 保険診療 |
| 治療期間 | 1年10ヶ月(18回) |
| 抜歯 | 無 |
| 矯正の装置 | ワイヤー装置 |
| 副作用、リスク | 歯肉退縮,歯根吸収,疼痛,咬合の違和感,装置の違和感,虫歯,歯肉炎 |
