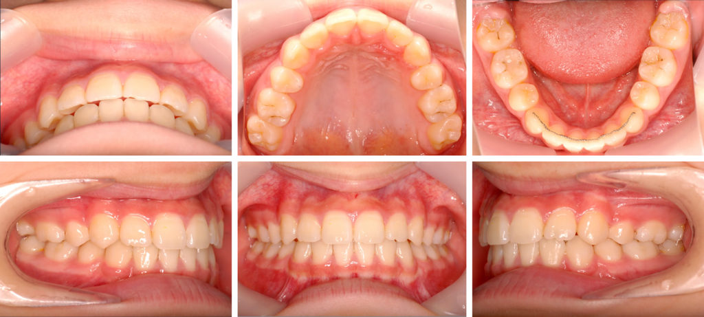
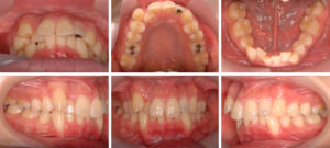
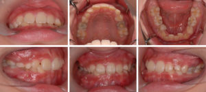
【BEFORE】初めてのご来院時

来院時、歯並びが気になると訴えられ、ワイヤー矯正による永久歯矯正治療をすることになりました。
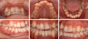
【AFTER】2年後

コメント
歯並びと噛み合わせが改善され、歯がみがきやすくなったと喜ばれました。
上はとりはずし式リテーナー、 下は固定式のリテーナーにて保定しました。
| 年齢層 | 10代 |
|---|---|
| 性別 | 女性 |
| 主訴 | 【主訴】歯並びを治したい 【診断・症状】上下叢生、歯列狭窄 |
| 治療費用 | 70万円(税抜)程度 |
| 治療期間 | 2年(25回) |
| 抜歯 | 有 |
| 矯正の装置 | ワイヤー矯正(全体) |
| 副作用、リスク | 歯肉退縮,歯根吸収,疼痛,咬合の違和感,装置の違和感,虫歯,歯肉炎 |
