上顎前突【出っ歯が気になる】

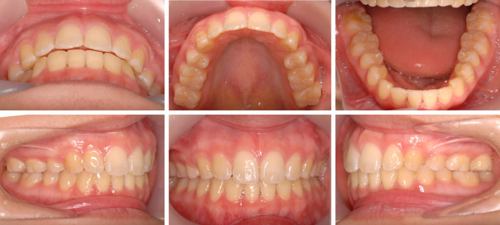
【BEFORE】初めてのご来院時

BEFORE

10代の女性です。出っ歯が気になるということで治療を開始しました。

【AFTER】2年6ヶ月後

AFTER
コメント
年齢層10代
性別女性
主訴【主訴】出っ歯が気になる
【診断・症状】上顎前突、顎関節症
治療費用75万円程度(税抜)
治療期間2年6ヶ月(30回)
抜歯
矯正の装置ワイヤー矯正(全体)
副作用、リスク歯肉退縮,歯根吸収,疼痛,咬合の違和感,装置の違和感,虫歯,歯肉炎
目次