【BEFORE】初めてのご来院時

10代の女性です。噛み合わせが深く、歯が出ているということで治療を開始しました。
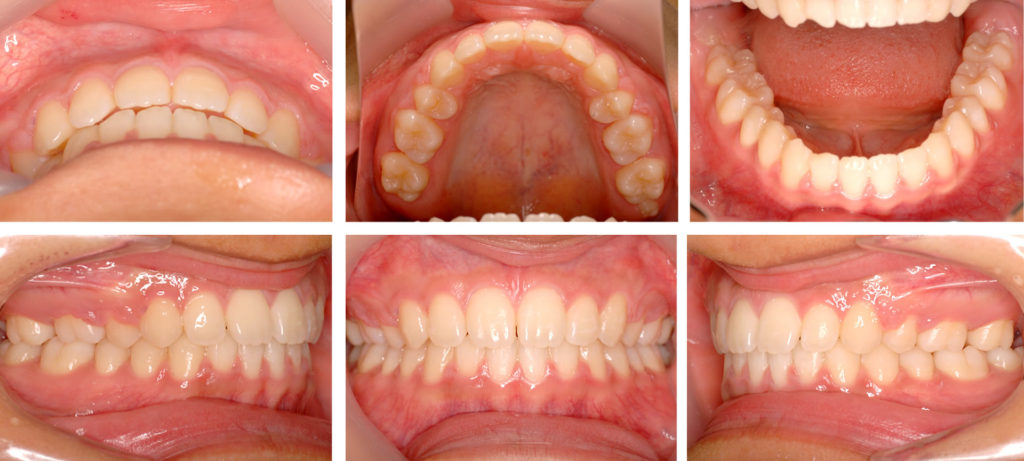
【AFTER】1年11ヶ月後

コメント
歯並びが整い、噛み合わせも改善され、口元がでていたのも改善されました。
| 年齢層 | 10代 |
|---|---|
| 性別 | 女性 |
| 主訴 | 【主訴】歯がでている 【診断・症状】上顎前突、過蓋咬合 |
| 治療費用 | 75万円程度(税抜) |
| 治療期間 | 1年11ヶ月(23回) |
| 抜歯 | 有 |
| 矯正の装置 | ワイヤー矯正(全体) |
| 副作用、リスク | 歯肉退縮,歯根吸収,疼痛,咬合の違和感,装置の違和感,虫歯,歯肉炎 |
